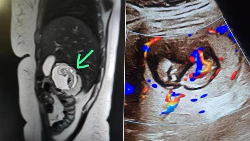
নয়াদিল্লিঃ কয়েক সপ্তাহ ধরেই পেটে অসহ্য ব্যথা,সারাদিন বমি বমিভাব। ইউএসজি (USG) করেও কী রোগ মহিলার তা বুঝে উঠতে পারছিলেন না চিকিৎসকেরা(Doctors)। বাধ্য হয়ে পেটের এমআরআই (MRI) করানোর পরামর্শ দেন চিকিৎসকেরা। এমআরআই রিপোর্টে যা উঠে এল তাতে তাজ্যব চিকিৎসক মহল। জানা গেল, মহিলা গর্ভবতী। কিন্তু জরায়ুতে নয় যকৃতে বেড়ে উঠছে তাঁর ভ্রুণ। অবাক করা ঘটনাটি ঘটেছে উত্তরপ্রদেশের মিরাটে। চিকিৎসকেরা জানিয়েছেন ৩০ বছরের ওই মহিলার লিভারের ডান প্রকোষ্ঠের ভিতরে প্যারেনকাইমাল টিস্যুর গভীরে রয়েছে ভ্রুণটি। তাঁর জরায়ু সম্পূর্ণ খালি রয়েছে। পরীক্ষা করে দেখা গিয়েছে ভ্রুণের হৃদস্পন্দন স্বাভাবিক রয়েছে।
জরায়ু ফাঁকা, যকৃতে বেড়ে উঠছে মিরাটের মহিলার সন্তান, কিন্তু কীভাবে?
জানা গিয়েছে, চিকিৎসাবিজ্ঞানের ভাষায় এই গর্ভাবস্থাকে ইন্ট্রাহেপ্যাটিক এক্টোপিক প্রেগন্যান্সি বলে। এটি অত্যন্ত বিরল গর্ভাবস্থা। পৃথিবীর ইতিহাসে এখনও পর্যন্ত এই ধরনের ৮ টি কেস পাওয়া গিয়েছে। সম্ভবত ভারতের প্রথম ইন্ট্রাহেপ্যাটিক এক্টোপিক প্রেগন্যান্সির ঘটনা এটি। এই গর্ভাবস্থা বিপজ্জনকও বটে। কারণ লিভারের মধ্যে প্রচুর রক্তনালী থাকে যেখানে রক্ত সরবরাহ হয়। লিভারের মধ্যে ভ্রুণ বড় হতে থাকলে রক্তনালির চাপে লিভার ফেটে যেতে পারে। অস্ত্রোপচার করে ভ্রূণটি অপসারণ করানো যেতে পারে। কিন্তু তা অত্যন্ত ঝুঁকিপূর্ণ।
জরায়ুতে নয়, গর্ভবতী মহিলার লিভারে বেড়ে উঠছে সন্তান,বিস্মিত চিকিৎসক জগৎ
UP Woman’s Foetus Growing In Liver, Not Uterus: Only 8 such cases reported worldwide. Meerut doctors say this could be India’s first intrahepatic ectopic pregnancy pic.twitter.com/ULWn9MUt1U
— dailysoap (@dailysoap) July 28, 2025